トップページ臨床の紹介>同門グループ

同門グループ

AORA (Akita Orthopedic Group on Rheumatoid Arthritis)

秋田大学整形外科リウマチ治療の歴史

図1 秋田県内におけるAORA登録施設の分布

秋田県のリウマチ治療は、関節リウマチ(Rheumatoid Arthritis、RA)を専門としていた初代教授である荒井三千雄名誉教授の時代から脈々と同門に受け継がれてきました。その魂を受け継ぎ、さらに時代に即した最先端の高度な治療を行うべく、島田洋一教授のもと、2010年に秋田整形外科リウマチグループ(Akita Orthopedic Group on Rheumatoid Arthritis、AORA)が設立されました。

AORAは(1)リウマチ治療の地域差解消、(2)RA治療の標準化を目的に掲げ活動を行なっており、現在、秋田県内の基幹病院とクリニックの29施設(19病院、10施設)にメンバーが所属しています(図1、2、3)。現在、柏倉剛 Directorの下、秋田県のRA患者さんに対してより良い医療を提供できるように、薬物療法および手術療法の両方に力を入れています。

図2 第63回日本リウマチ学会総会・
学術集会シンポジウムでの柏倉剛Director

図3 第63回日本リウマチ学会総会・学術集会にて

AORA registryについて

AORAメンバーが診療にあたっている患者さんを登録したコホート研究(AORA registry)は、2010年から始まり、2018年では登録者数が2200人を越え(図4)、全国版のテレビ番組でも名前が紹介される存在となっております。

AORA registryの経年調査では、RA患者さんの背景、薬物療法の推移、疾患活動性の推移などについて調査しています。AORA registryに登録されているRA患者さんの平均年齢は67.2歳であり、これは日本のみならず世界のコホート研究と比べても、平均年齢が高いコホート研究であり、今後さらに高齢化が進む日本の未来を反映しているとも考えられます。

また、AORA発足8年目でのAORA registryでは、病院とクリニック間でRA患者さんの疾患活動性に差はなく、目標としていた「RA治療の標準化」が達成されていることがわかりました(図5)。

図4 AORA registryの登録症例数の推移

図5 AORA registryにおける病院とクリニッック間での比較



AORA registryから見えた今後の課題

秋田県は高齢化率全国1位ですが、RA患者さんも同様で、経年的に高齢RA患者さんの人数は増加傾向にあります(図6)。

疾患活動性も80歳を境に見てみますと、80歳以上の患者群では疾患活動性コントロールが不十分な状況が明らかとなりました(図7)。背景として元々高齢患者さんは併存症が多く、若年患者さんと比べると、Treat to Target(T2T)に即した治療が困難な状況にあります。

また、併存症に対する治療薬によるpolypharmacy状態となり、服薬コンプライアンスの低下、内服薬による副作用発生が懸念されます。このような状況に対する対策を発信していくことは、AORA registryが全国に先駆けて発信できる情報と考えております。

図6 年齢別に分けたRA患者数の推移

図7 AORA registryにおける疾患活動性の変化



関節エコーの普及

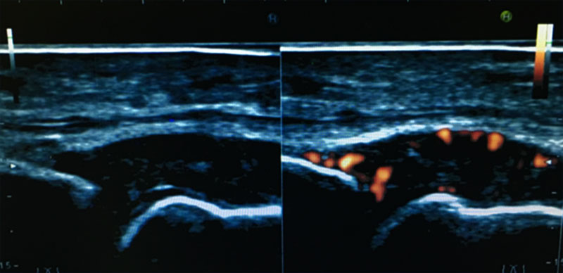
RA診療においても、関節エコーはリウマチ性疾患に特徴的な炎症や骨破壊を鋭敏に捉えることができ(図8)、リウマチ診療においても診断や疾患活動性評価に有用とされています。AORAでは、関節エコー技術の普及を目的に、AORAメンバーのみならず、関連病院の検査技師の方々を対象として、勉強会を開催しエコー技術の普及を行なっております。関節エコーにより、より高度なRA診療を目指しています。

図8 RA患者さんの関節エコー画像

AORA名簿

Adviser宮腰尚久(秋田大学)
Adviser片岡洋一(城東整形外科)
Adviser宮本誠也(本間記念東北整形外科)
Adviser柏倉剛(市立秋田総合病院)
Director小林 志(平鹿総合病院)
Vice-Director杉村祐介(秋田労災病院)

  • 相澤俊朗(北秋田市民病院)
  • 青沼 宏(市立角館総合病院)
  • 五十嵐 駿(市立大森病院)
  • 石澤暢浩(外旭川サテライトクリニック)
  • 伊藤博紀(能代厚生医療センター)
  • 岩本陽輔(大曲厚生医療センター)
  • 浦山雅和(雄勝中央病院)
  • 大場雅史(市立大森病院)
  • 加賀 望(能代厚生医療センター)
  • 加茂啓志(秋田労災病院)
  • 木下隼人(本荘第一病院)
  • 工藤宏次(くどう整形外科)
  • 小西奈津雄(秋田厚生医療センター)
  • 齋藤 光(中通総合病院)
  • 櫻場 乾(平鹿総合病院)
  • 佐藤 毅(能代厚生医療センター)
  • 佐藤 光(中通総合病院)
  • 東海林和弘(東海林整形外科クリニック)
  • 東海林 諒(秋田厚生医療センター)
  • 鈴木紀夫(由利組合総合病院)
  • 谷 貴行(市立角館総合病院)
  • 田村康樹(今村記念クリニック)
  • 千田秀一(平鹿総合病院)
  • 長幡 樹(由利組合総合病院)
  • 野坂光司(秋田大学)
  • 村田昇平(秋田大学)
  • 森田裕己(もりた整形外科医院)
  • 楊 国隆(楊整形外科)
  • 若林玲奈(湖東厚生病院)
  • 渡部英敏(わたなべ整形外科)
  • 渡部 亘