2013年9月27日発足
靭帯再建から関節温存手術である膝周囲骨切り術、最終的には人工関節まで、膝のトータルケアを行う医師集団です。最先端治療、歩行動作解析などを主とした基礎研究、若手への最新の知識や手術技術の教育を三位一体とした活動を行っております。年4回のミーティングでは、教育講演や、若手医師による論文レビューを行い、知識の啓蒙習得に日々邁進しています。
2019年の手術実績をみますと、手術の種類も多岐にわたっており、全国的な趨勢をみますと、人工関節に偏った施設も多く見受けられるわけですが、我々は、患者さんの年齢、活動性、要望に相談に乗りながら手術適応を決めております。
| 膝 | 件数 |
|---|---|
| TKA | 548 |
| UKA | 26 |
| 関節鏡視下滑膜切除またはドリリング | 22 |
| 膝周囲骨切り術 | 55 |
| 内側膝蓋大腿靭帯再建 | 5 |
| 離断性骨軟骨炎に対するドリリング | 3 |
| 離断性骨軟骨炎に対する骨軟骨柱移植 | 6 |
| 前十字靭帯再建(再再建も含む) | 144 |
| 半月板縫合 | 129 |
| 半月板部分切除 | 65 |
| 自家培養軟骨移植 | 2 |
| 合計 | 1005 |
| 肩 | 件数 |
|---|---|
| 関節鏡視下腱板修復 | 76 |
| 関節鏡視下バンカート修復 | 30 |
| 直視下Latarjet | 4 |
|
肩鎖関節脱臼手術
|
12 |
| 人工骨頭または人工関節置換 | 23 |
| 合計 | 145 |
前十字靱帯損傷は、スポーツ活動においてパフォーマンスを著しく低下させるだけでなく、2次性変形性膝関節症を引き起こします。その頻度は、12年で63%、30年で86%とも言われております。膝前十字靭帯機能を再獲得するため、我々は、解剖学的な靭帯付着に正確に長方形骨孔を作成した骨付膝蓋腱を用いた方法で再建しております。前十字靱帯損傷には半月板損傷や軟骨損傷を合併することが多く、半月板損傷には半月板縫合術を、軟骨損傷には骨穿孔術や骨軟骨移植術、自家培養軟骨移植術を併用しております。
半月板は、線維軟骨でできており、膝関節においてはクッションの役割があります。半月板の損傷が起こると続いて軟骨損傷が生じ、時間が経つと関節の変形が生じてきます。
我々は、軟骨機能を温存するため、inside-out法による強固な縫合を、関節鏡を用いて行っております。より強固に縫合するため特殊な縫合方法で行っております。下肢アライメント不良がある膝に対しては、アライメント矯正手術を併用した半月板縫合術も行う場合もあります。
膝の内側の軟骨がすり減って徐々にO脚が進行してゆく変形性膝関節症があります。我が国での変形性膝関節症の推定患者数は、1700万人にのぼると言われております。
我々は、変形性膝関節症に対して関節温存手術を検討する場合、患者さんの下肢アライメント解析を行い、それぞれの変形に応じて種々の骨切り術(open wedge 型高位脛骨骨切り術、closed wedge 型高位脛骨骨切り術、大腿骨遠位骨切り術、脛骨顆外反骨切り術)を駆使し、治療にあたっております。関節鏡も併用し、骨髄刺激法や半月板縫合など、適宜処置を追加します。

硝子軟骨による軟骨再生は、整形外科医にとっても夢の治療であった。それが、2015年より保険収載され、臨床の現場で使用できるようになった。適応は4cm2以上の軟骨損傷で、1回目の手術で、膝の非荷重部の関節軟骨から関節鏡を用いて採取し、28日後に2回目の手術を行い、出来てきた培養軟骨を移植するものである。アライメント異常がある場合は、骨切り術なども併用することもある。
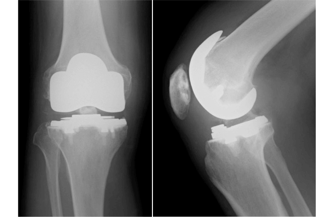
壊れた関節の部分だけを金属とポリエチレンに置換します。
1974年に英国Oxford大学で開発されたモバイル人工膝関節を使用します。すぐれたメニスカルベアリングデザインで、大腿骨側は球構造、脛骨側は平坦であり、膝の全可動域において、ポリエチレン磨耗が最小限となる(年間磨耗量0.03mm。10年成績が98%とすぐれた長期成績を持ちます。

加齢や関節リウマチ、外傷などの原因により高度に障害された関節表面を取り除き、関節部分を金属とポリエチレンに入れ替える手術です。ポリエチレンでできた部分が軟骨の役割を果たし、滑らかに人工関節が動くことができます。
障害された膝関節は人工関節に置換することで痛みが大きく和らぎ、滑らかな動きができるようになり、歩きやすくなります。また、関節の変形も矯正されます。人工膝関節置換術は日常生活の質を高める治療効果の高い手術であると言えます。
以前は膝関節の内側と外側が対称な形状である機種がほとんどでしたが、近年では内側と外側を非対称にして元の膝関節の形状や機能により近くなった機種や、膝の靭帯を全て温存したままで置換できる機種など様々なタイプがあります。患者さんの状態に合わせ、ベストな機種を選び手術を行います。
しかし人工関節置換術における治療の限界もあります。膝関節の可動域は手術前と比べて同じか少し良くなる程度で、劇的な改善は見込めません。また、人工のものであるため、長い間使用し続けることでゆるみや摩耗が生じます。そのため耐用年数は永久というわけにはいかないため、一般には60歳以上が適応年齢となります。さらに耐用年数には個人差があるため、経年的にゆるみがひどくなり再置換術が必要にある場合があります。
膝関節の内部には二つの大きな靭帯があります。一つは前十字靭帯、もう一つは後十字靭帯と呼ばれています。
従来までの人工膝関節置換術(Total Knee Arthroplasty:TKA)の機械の種類には、上記の後十字靭帯を残したまま手術を行うもの、もしくは後十字靭帯を切除して人工関節で後十字靭帯の機能を代償しようというものでした。
従来のTKAの手術でも良好な成績がたくさん報告されています。しかしながら、TKAの手術後の痛みが残っているという患者さんが約20%もいるという報告もあります。その原因として、TKA後の患者さんの膝は、膝関節内部のもう一つの靭帯の前十字靭帯が切られたままの状態です。そのためTKA後の膝は前十字靭帯が機能していない膝であり、前十字靭帯が機能していないと、術後の膝関節の状態はグラグラと不安定な状態である事が術後の成績が不良な一因として報告されております。
このタイプのTKAは人工関節の機械に前十字靭帯機能を再現し安定性をもたらすと言われています。また、関節面の形状やポリエチレンの厚さを変える事によって、より正常に近い膝関節面と正常膝の動きを再現させるように人工関節がデザインされております。
下の写真は正常膝・従来までのTKA・新しいTKAの側面像を比較したものですが、正常膝の大腿骨と脛骨の位置関係に比べて、従来型のTKAの大腿骨は後方に出っ張っているのがわかるかと思います。このタイプの TKAでは正常膝に近い大腿骨と脛骨の位置関係にあるのがわかると思います。BCS TKAではこのような正常膝に近い前後の位置関係を保つ事や人工関節の機械に工夫を加える事で、前十字靭帯の機能を再現しようとするもので、いい評価に繋がっています。
日本で行われている全人工膝関節置換術(以下TKA)の種類は、後十字靱帯温存型(CR型)が約25%、後十字靱帯置換型(PS型)が約64%、その他が約11%でとなっています。現在よく使用されているインプラントのコンセプトから、そのほとんどは前十字靱帯(以下ACL)を切離する手技が行われています。
TKAは関節リウマチや変形性膝関節症の進行した症例に対しての除痛効果は非常に良好である一方、14-19%が不満足であったという報告があります。また、TKA患者の約1/3に膝の違和感を感じるといった報告もされています。不満足や違和感として、具体的には疼痛残存の他に、音やひっかかり、正常な感覚の消失や望んでいた高い活動ができていないなどが挙げられています。
これらの不満の原因として、前十字靭帯機能の消失が指摘されています。前十字靭帯の主な機能は脛骨の大腿骨に対する前方移動の制御、脛骨回旋の制御、膝伸展時の内外反の制御です。
前十字靭帯の緊張は膝の屈曲角度によって調整され、常に膝の安定性や正常な動作に寄与しており、前十字靭帯は膝の機能維持のために重要であることが分かっています。
現在一般的に行われているTKAでは前十字靭帯は切離されるため、前十字靭帯の機能は損なわれることになります。これが前述のTKA術後の不満足感や違和感に繋がっている可能性が高いのです。
前十字靭帯・後十字靭帯温存型TKAでは、より自然な膝の動きを再現することができると考えられています。 前十字靭帯・後十字靭帯温存型TKAをうけた患者さんは術後の膝がより自然で、安定して音やクリッキングがないと感じたという報告もあり、ACL/PCL温存型TKAは現在のTKAの問題点を解消できる可能性があります。
頑固な肩痛の原因の1つとして肩腱板断裂があります。強い夜の痛みや、ものを棚に上げる際の痛みなどが特徴です。診断にはMRIや超音波検査が必要です。リハビリなどの保存療法でも症状が緩和されない場合の治療法として、我々は関節鏡視下腱板修復術を行っております。
Adviser宮腰尚久(秋田大学)
Director赤川 学(秋田大学)
Vice-Director/事務局塚本泰朗(城東スポーツ整形クリニック)
Vice-Director/事務局髙橋靖博(大曲厚生医療センター)
メンバー