関節・外傷グループでは、加齢変化に伴う関節の痛みや変形から、スポーツや怪我による関節の損傷や機能障害、さらに関節リウマチによる変形や日常生活制限などに対して、人工関節置換術、関節鏡視下手術、イリザロフ創外固定器など様々な方法を用いて、みなさんの生活の質(Quality of Life: QOL)の向上を目指します。
軟骨というクッションがすり減ってしまい、骨に負担がかかって痛い股関節や膝関節を新しい人工の関節に取り換える手術です。歩く時の痛みをなくすだけでなく、かなり変形してしまった関節でも,ほとんど正常に近い機能まで回復させることが可能です。手術後も激しいスポーツ以外は制限しておりませんので、ウォーキングはもちろん、自転車、ゴルフなども可能です。

もともと股関節の屋根が少ない方(臼蓋形成不全)などに対して、骨を移動させることで屋根を作る手術も可能です(臼蓋棚形成術など)。
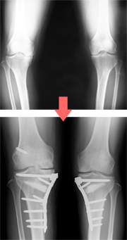
膝の場合には内側の軟骨がすり減りやすくO脚が進んでしまうので、脛骨というスネの骨を矯正することでO脚を直し、痛みを取る手術も行なっています。
さらに股関節や膝関節だけでなく、怪我の影響や先天的な問題、あるいは関節リウマチなどで、スネや足首、足部の変形(外反母趾など)や痛みが進んで困っている場合にも、骨切り術や創外固定器を用いて変形を矯正することができます。
腱を移植するために長方形に作成した骨孔
現在スポーツ愛好者は、若年者のみでなく、中高年、高齢者にまで広がっています。一方で、スポーツによる障害や外傷の発生率も増加しております。我々は、スポーツで生じた膝前十字靭帯損傷や膝半月板損傷、外傷性肩関節脱臼や肩腱板断裂に対し、内視鏡を用いた手術を積極的に行っております。
もちろん、目標は日常生活復帰だけではなく、スポーツ復帰・職場復帰です。関節鏡を用いているため、体の負担も少なく、早期の復帰を目指せます。
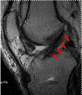
再建された膝前十字靱帯
外傷の中でも最も重症なものの一つが骨盤骨折です。この骨盤骨折に関しても積極的に手術を行ない、骨折部を金属で固定することで早期の社会復帰が目指せます。
さらに四肢の重症外傷や外傷後の変形治癒・偽関節(骨折した骨がくっつかない)症例にイリザロフ創外固定器を使用しています。この方法は、正確な矯正、確実な骨癒合、骨長調節が可能で、複雑な変形や骨欠損のある場合にも対応が可能です。そして何よりも、今までの方法に比べ強固な固定性のために、すぐに歩く練習が可能で、入院期間も短く、社会復帰が早いことが分かっています。
