当科は消化器系の診療を中心に行っており、常に最先端の医療を患者さんに提供できるよう診療、研究にあたっています。
特に、消化器がん(胃がん・大腸がん・肝臓がん・胆道がん・膵臓がん)に対する治療に力を注いでいま す。胃がんや大腸がんに対しては腹腔鏡を用いた侵襲の少ない手術を積極的に取り入れ、2014年は胃がん切除の67%、大腸がん切除の54%を腹腔鏡下の手術で行いました。
また、当院は東北地方では22施設しかない日本肝胆膵外科学会高度技能医修練施設に認定されており、診断、治療が困難な肝胆膵領域の悪性腫瘍に対して根治性の高い手術を行うのみならず、標準治療では対応できない症例に対しても、血行再建など高度技能を駆使 し、がんの取り残しのない手術を安全に行うよう努めています。
これらの外科治療だけでは不十分な患者さんにあっても手術治療と抗がん剤治療や放射線治療などを有効に組み合わせる集学的治療や「がん」の臨床研究を基盤とした先進的な治療も行っています。


1.外来案内
| 月 | 火 | 水 | 木 | 金 | |
|---|---|---|---|---|---|
| 新患 | 渡邊 | ー | ー | ー | 有田 渡邊 |
| 再来 | 渥美 | 渡邊 佐藤 千田 |
渡邊 | 吉岡 中川 堀江 |
中川 |
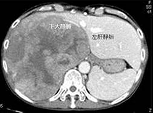
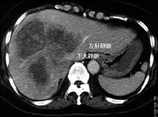
2. Ante-situm法による肝切除
肝静脈根部に腫瘍が存在して通常の肝切除では切除不可能な症例に対して生体肝移植の技術を応用した体内冷却肝灌流法を用いたAnte-situm法による肝切除を行っています。下大静脈が腫瘍の浸潤を受けている場合には人工血管による置換を行います。これまでの実績は8例(京都大学で5例、秋田大学で3例)です。この手術の概要は2005年8月10日に秋田さきがけ新報の「医療新世紀・進むがん治療・秋田大学医学部の取り組み」に紹介されました。(手技は確立されておりますが、試験的手術法の段階であり、一般的治療法では助けられない患者さんに限って考慮しております。)
3.腹腔鏡下大腸全摘術
若年者に多く発症し近年増加傾向の潰瘍性大腸炎に対しては、切開創がより小さく整容性のよい腹腔鏡下手術を行っています。また当科では、術後の残存直腸炎、長期的にみた場合の癌化のリスクを減少させるため、大腸全摘・直腸粘膜抜去・回腸嚢肛門吻合術(IAA)を採用しています。
4. 腹腔鏡下膵切除の導入
当院では胃・腸手術において腹腔鏡手術が普及した早期より取り組んでおり、これまで多くの患者さまに腹腔鏡手術を適応させていただきました。合併症が少なく、入院期間の短さや、創が小さいことによる美容上の問題など、多くの面で腹腔鏡手術の有用性が挙げられます。その技術を応用し、現在膵切除を念頭に、まずは良性疾患から始め徐々に悪性手術へと取り組んでいきたいと考えております。